Image

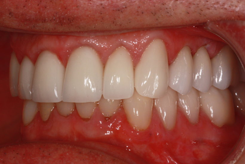
Andrew

Before Procedure
After Procedure
Before Procedure
After Procedure
Before Procedure
After Procedure
Before Procedure
After Procedure

Patient Information

Andrew knew that he had neglected his teeth and was at a point in his life where he wanted to “get it all fixed”. 

A full mouth rehabilitation was performed.