Image

Gail

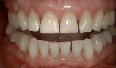
Before Procedure
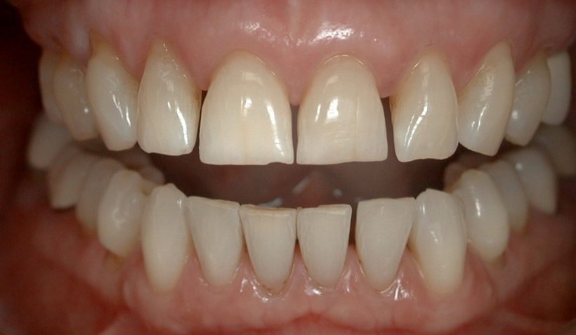
After Procedure

Patient Information

Dental implants were placed in all upper and lower back tooth areas and implant supported crowns were placed, eliminating the need for a removable appliance.

After a very successful result with the back teeth, crowns and veneers were placed on all her front teeth.