Image

Karen

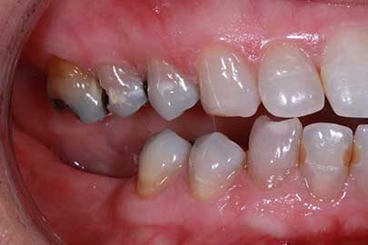
Before Procedure
After Procedure
Before Procedure
After Procedure
Before Procedure
After Procedure

Patient Information

Karen first came to the office complaining of a toothache.  She soon said she felt that she was “at a crossroads” with her teeth and needed to make a decision about “total treatment”. 

Treatment consisted of porcelain crown restorations on all the existing teeth.