Image

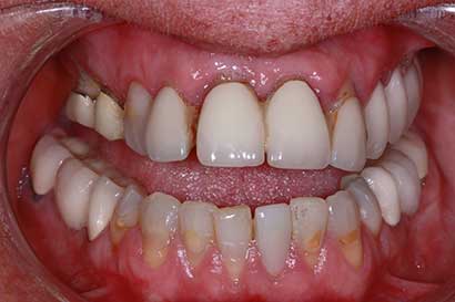
Karen

Before Procedure
After Procedure

Patient Information

Karen knew that that all her upper teeth were failing. 

The All-on-Four protocol was performed, and Karen missed only one day of work.

A more permanent, long term prosthesis was provided 3 months later.