Image

Maegen

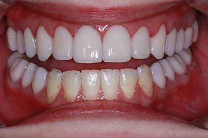
Before Procedure
After Procedure

Patient Information

Maegen was a beautiful Las Vegas showgirl with badly deteriorating teeth.  She said “I am very embarrassed about my teeth”.

We were able to completely restore all of Maegen’s teeth utilizing Full Mouth Rehabilitation techniques.