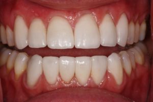
Porcelain veneers are arguably the most versatile tool in a cosmetic dentist’s repertoire. These beautiful restorations can cover up imperfect teeth to slightly refine or completely transform a smile. Dr. Michael Singer places veneers that are constructed from the highest-grade porcelain for great-looking, long-lasting outcomes.
Patients desiring porcelain veneers in Rancho Bernardo seek out Dr. Singer for their meticulous attention to detail and the most natural-looking results possible.




Porcelain Veneers at a Glance
- Tiny pieces of porcelain bonded to the teeth to cover up issues with color or shape
- Very lifelike and match the visual characteristics of natural teeth
- Extremely versatile and can be used in a variety of cosmetic dentistry cases
Would I Benefit from Porcelain Veneers?
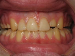
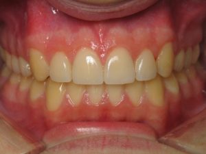
You may benefit from porcelain veneers if you are bothered by issues of tooth shape or color. Perhaps you have tooth stains that don’t respond to whitening treatment, or some of your front teeth are unevenly shaped. Or maybe you have tiny spaces in between your teeth, but don’t want to devote months to orthodontic treatment. Dr. Singer can place a single veneer or a set of veneers to give you a uniformly even set of teeth and a gorgeous smile you’ll be proud to show off!
Placing Porcelain Veneers
Placing porcelain veneers usually requires at least two appointments with Dr. Singer.
Careful planning is critical to successful outcomes. Dr. Singer will ask you what you don’t like about your teeth in order to identify your specific area(s) of concern. He will also ask you what you would like your teeth to look like after cosmetic dentistry treatment. Intraoral photographs may be taken to clarify the condition of the teeth and help determine the appropriate treatment.
Based on this information, Dr. Singer will lay out your veneers treatment options, including the number and type of veneers that will give you the best possible outcomes. Together, you will select the shade of porcelain from which your veneers will be crafted; this color should match the rest of your natural teeth.
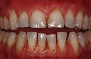
The teeth that are receiving veneers will be prepped for placement. This may involve removing a small amount of enamel to create room for the veneers. Dr. Singer will take impressions of the affected teeth place provisional veneer restorations.
Dr. Singer may create diagnostic wax veneers on a model of your teeth to aid in diagnosis. Provisional restorations can be fabricated from these templates to gain information on function and appearance.
When your final restoration is ready, Dr. Singer will remove the provisional veneer and cement the permanent veneer into place.
Expertly constructed veneers are strong and durable enough to withstand the forces of chewing. With the proper oral hygiene habits, your veneers can last five to seven years or longer.
Learn More about Porcelain Veneers in Rancho Bernardo
To understand more about the porcelain veneers process, please call (858) 487-2301 or email Dr. Michael Singer today. Either of them would be happy to explain how porcelain veneers can help make over your smile.
